Augmented Reality for Surgery
Projecting images as part of image-guided surgery improves surgeon's focus and performance.
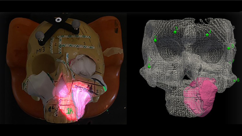
A demonstration of augmented reality in surgery, with a tumour (pink) projected on to a plastic skull (left) based on medical imaging data of the tumour's size, shape and position (right).
A recent study from researchers at UHN's Techna Institute reveals that augmented reality could serve as a powerful tool to help guide surgeons.
Current image-guided surgical systems require surgeons to look back and forth between the patient and a computer screen. Augmented reality is a game-changer because it enables the image to be accurately projected directly on the patient, providing a more intuitive approach. says Dr. Jonathan Irish, the senior author of the study and head of Techna's Guided Therapeutics (GTx) Program.
A recent study from Dr. Irish's team reveals that, when combined with existing surgical guidance systems, augmented reality improves surgeons' ability to focus, reduces the toll taken on surgeons and may improve performance.
The research team used an augmented reality system that uses a projector to overlay an image of the tumour to be removed on top of a patient. The system adapts the projected image to the curvature and position of the body to ensure that accurate information is being conveyed to the surgeon.
In the study, four different surgical procedures were simulated using plastic mock-ups of head and neck cancers and the virtual surgeries were performed by five different surgeons. Eye-tracking technology was used to track the gaze of the surgeon during the simulated procedure.
The results revealed that adding augmented reality reduced how often the surgeons shifted their gaze between the surgery and the monitor (which provided standard surgical navigation information). This enabled the surgeons to spend 100% of their time with their gaze focused on the simulated procedure, compared to 21.5% with a more traditional image-guided surgical system.
A key readout of how well the surgeons performed the procedures is how often they avoided the error of cutting healthy tissue while removing tumours. When augmented reality was added to a surgical navigation system, the rate of this error was reduced from 1.2% to 0%.
By asking surgeons to complete a survey after they completed the surgeries, the study also revealed that the physical and mental demands perceived by the surgeons were reduced when augmented reality was combined with the traditional navigation display system.
While current image-guided surgical systems provide surgeons with detailed medical imaging informationso that all parts of a tumour can be removed while conserving as much healthy tissue as possiblethe key drawback is that these systems display the information on a screen that surgeons must shift their gaze to see.
Augmented reality overcomes this challenge by displaying information about what lies beneath the skin right in the surgeon's line of sight. It is like having X-ray vision, enhancing a surgeon's vision with information that can provide deep insights and improve performance, concludes lead author Dr. Axel Sahovaler.
This work was supported by the Princess Margaret Cancer Foundation, the P. Austin Family Foundation GTx (Guided Therapeutics) International Fellowship Fund, the Dorrance Drummond Family Fund, the Garron Foundation, the Strobele Family Guided Therapeutics Research Fund and the Kevin and Sandra Sullivan Chair in Surgical Oncology. Since the inception of the Techna Institute, its researchers have been investigating new technologies to improve how surgeries are performed. To learn about this innovative research, visit the Techna website.
Sahovaler A, Chan HHL, Gualtieri T, Daly M, Ferrari M, Vannelli C, Eu D, Manojlovic-Kolarski M, Orzell S, Taboni S, de Almeida JR, Goldstein DP, Deganello A, Nicolai P, Gilbert RW, Irish JC. Augmented Reality and Intraoperative Navigation in Sinonasal Malignancies: A Preclinical Study. Front Oncol. 2021 Nov 1;11:723509. doi: 10.3389/fonc.2021.723509.